
What is Boutique Whitening?
Our 'home whitening' treatment, Boutique Whitening offers a range of gels to suit every lifestyle. Boutique by Day needs only 90 minutes daily wear, and Boutique by Night whitens as you sleep.
To complement our amazing whitening, use Boutique Biomin toothpaste - clinically proven to relieve sensitivity and prolong the effects of whitening.
Our whitening trays are manufactured by the most experienced plastics laboratory in the UK so quality comes as standard. In 7 short years, Boutique has gone from humble start-up, to an international, multi-award-winning business spanning 4 continents, thousands of dentists and millions of customers. Rest assured, your smile is in safe hands

How it works
01. Step one
Clinical examination of your teeth and gums, restore cavities and take impressions (moulds) for your bespoke whitening trays.
02. Step two
Impressions are sent to our laboratory where qualified dental technicians make whitening trays to fit your mouth very precisely.
03. Step three
Your trays take 1-7 days to
manufacture. In this time, use Biomin Toothpaste to reduce sensitivity and enhance the whitening effect.
04. Step four
Collect your trays from the dentist and use them as directed. In two to three weeks you can unveil your beautiful new smile
Better by design
Our whitening products are better by design.
Our formula was the result of a collaboration between UK dentists and master chemists from Canada. All our products are produced in small batches and subject to meticulous laboratory testing to ensure the very best quality.Your dentist will ask you some questions about your lifestyle and preferences, before recommending which range of products is ideal for you.
All our gels have a double-action whitening effect - the peroxide removes surface stains whilst oxygen ions penetrate deep within the tooth to whiten from the inside out.


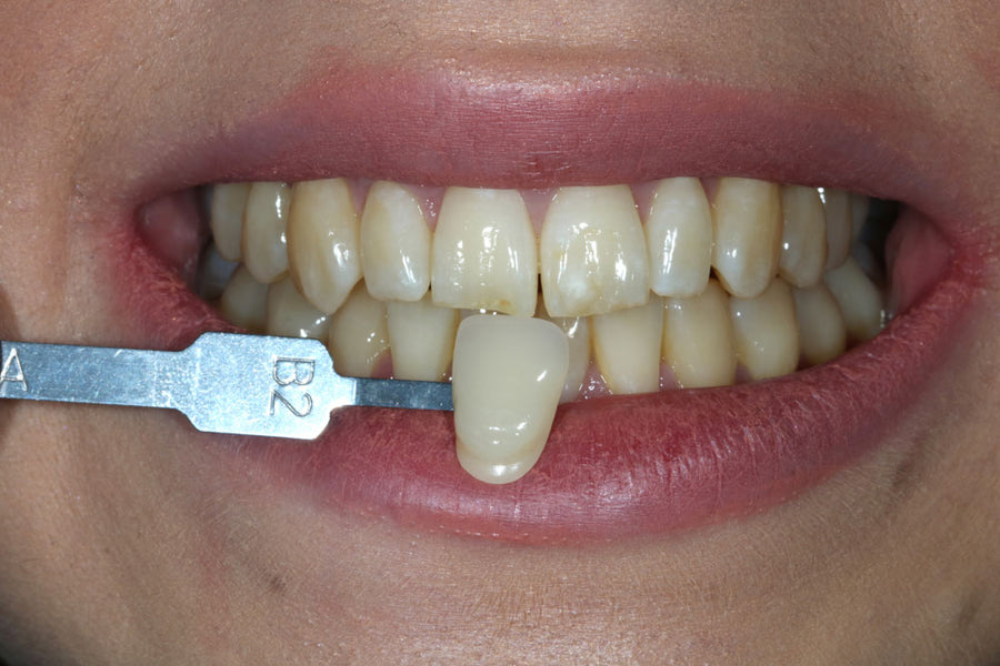
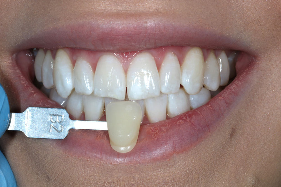
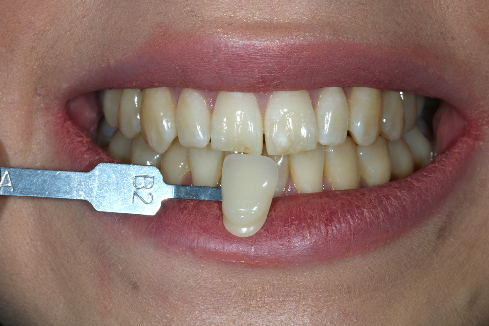
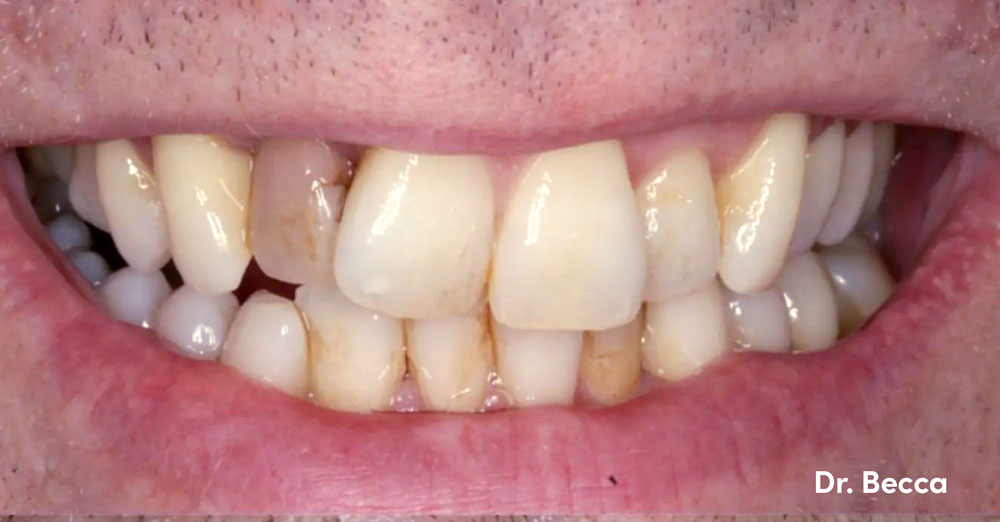
Before & Afters
Our Boutique Whitening case studies
How much does Boutique Whitening cost?
We offer our home teeth whitening system for just £295 includes whitening trays.
If you have any questions or would like any further information about teeth whitening treatment, please call us on 01256 353033 or request a consultation with our treatment co-ordinator.