COSMETIC DENTISTRY

Invisalign Clear Aligners

It’s time to get that smile you can feel proud of. Invisalign is comfortable, invisible and is proven to deliver results.

How does Invisalign work?

Invisalign aligners are removable and virtually invisible, so you can eat and drink normally, clean your teeth easily, and no-one will know you’re having treatment. By using Invisalign you can transform your smile without it affecting your day to day life. It excellent at straightening crooked, teeth with gaps or even overlapping teeth.

The treatment consists of a series of clear aligners, created with 3D computer imaging. To help create a perfect impression of your teeth we are proud owners of an iTero® Element™ Intraoral Scanner. The iTero Element Scanner is a state-of-the-art digital impression system that eliminates the need for messy putty in your mouth.

The aligners are designed so that you wear each positioner for approximately two weeks. They gently and gradually move your teeth from their present position to the desired position.

book now

Your Invisalign journey with us

01
Show us your smile

Book an in-office consultation at our practice. Our dental team will consult with you your options on what you could do to improve your smile and address any concerns you have. We will be able provide you with a guide on cost and time required for your treatment. We will carry out the necessary scans, photos and checks to gather all the information needed to proceed with your care.

02
Digital treatment planning

We upload your scans and photos to Invisalign and start planning your treatment digitally. This is called your Clin Check and it will guide your Invisalign treatment. As soon as we are happy with the predicted result, we share this with you.

03
Aligners fitted

Following the acceptance of your ClinCheck your aligners are printed and shipped to our clinic. We schedule a visit to fit your first aligner and show you how to use your Dental Monitoring Scan box. Dental Monitoring allows us to monitor your treatment whilst reducing the number of appointments you use. Learn more here.

We then send you away with enough aligners until we need to schedule a review. Meanwhile you scan each week with your scan box so we can review your progress remotely reducing the need for face to face reviews.

04
In-treatment appointments

You will need to attend some review appointments. You may also need to attend appointments for more polishing between your teeth. 

05
End of treatment

When you get to the end of your aligners, the dentist will review your treatment and decide if you need additional aligners. These are included in your Invisalign package. If you are happy with your results, we will give you your whitening to start. You can also complete your smile with edge composite bonding.

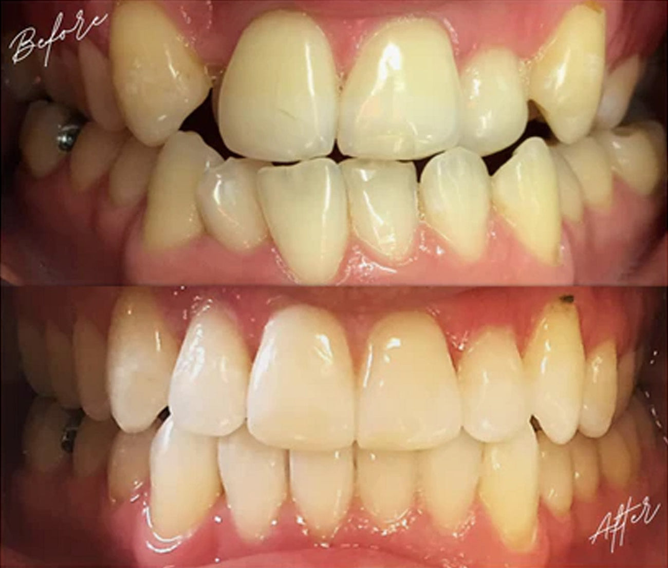
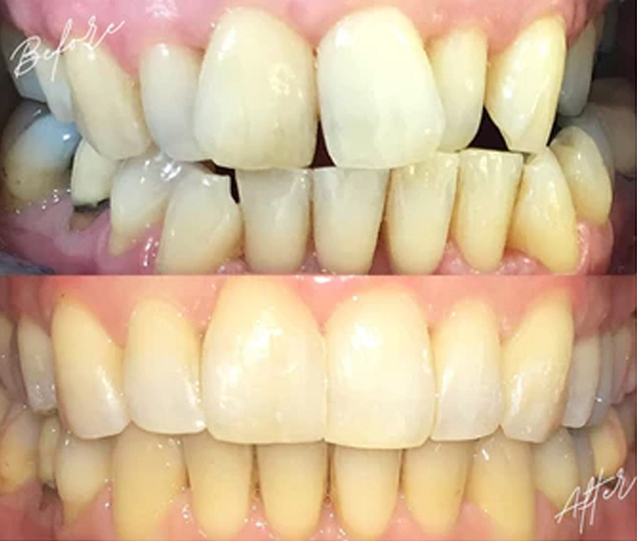
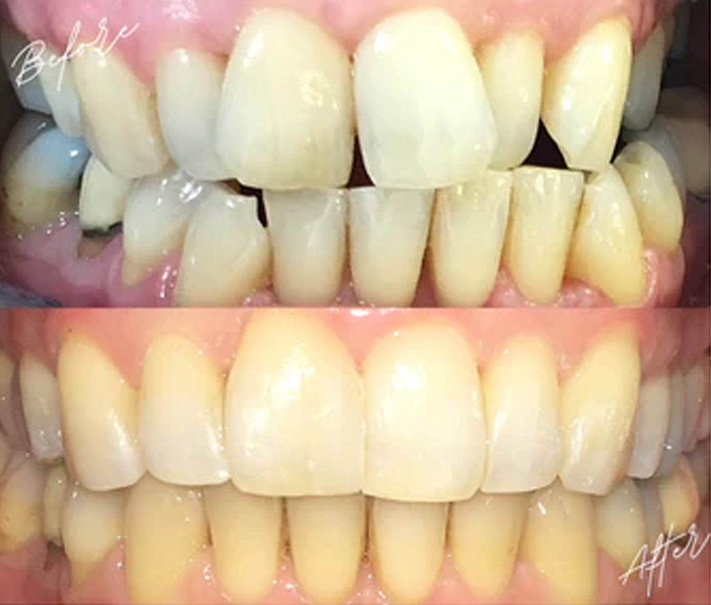
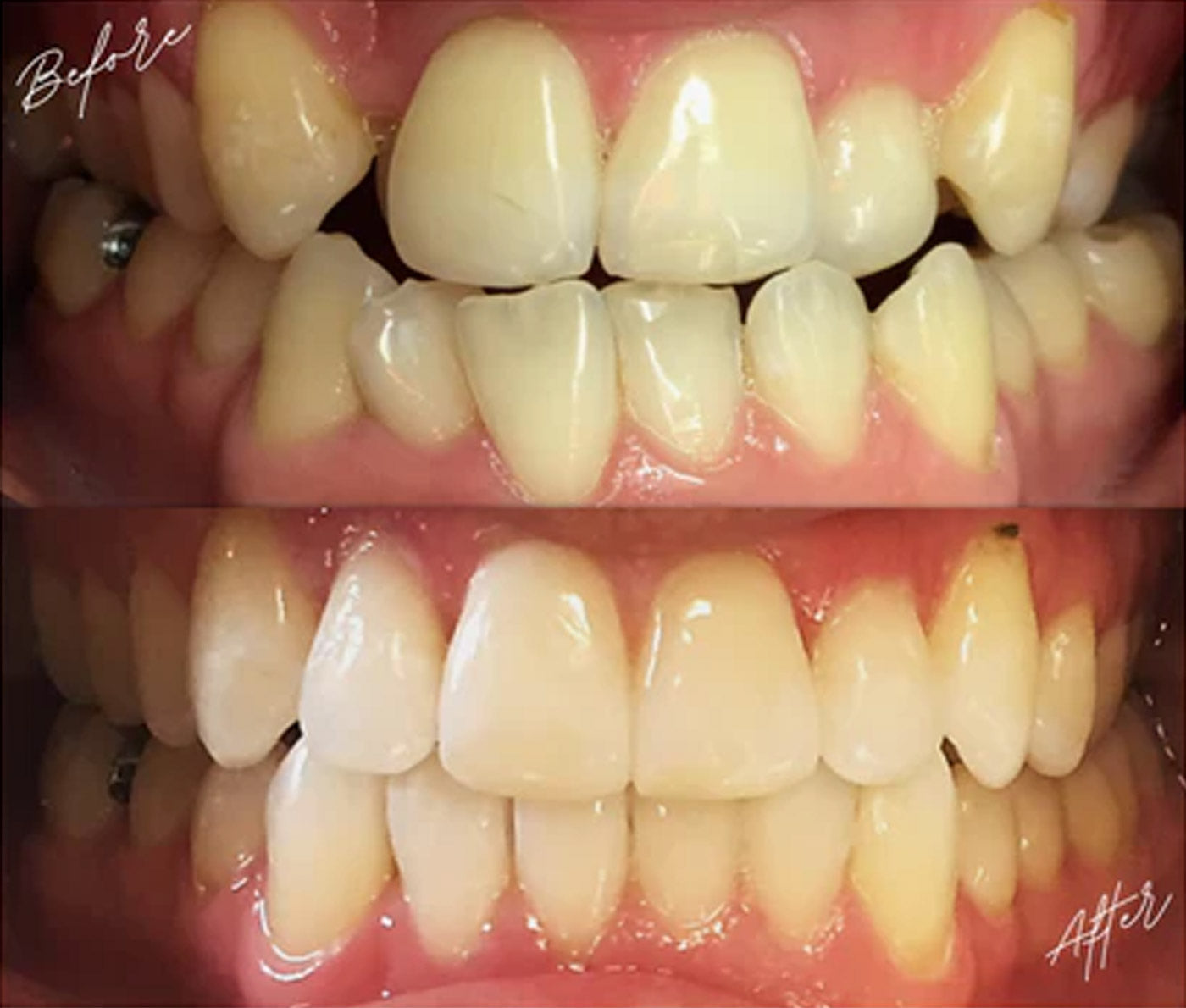
INVISALIGN

Before & Afters

Our Invisalign case studies

Treatments carried out by Dr Neha Khade